
Comer em embalagens plásticas de delivery pode aumentar significativamente o risco de insuficiência cardíaca congestiva, de acordo com um novo estudo. Os pesquisadores suspeitam ter identificado o motivo: mudanças no microbioma intestinal causam inflamação que danifica o sistema circulatório.
Análise da pesquisa
O estudo inédito, dividido em duas partes e revisado por pares, foi conduzido por pesquisadores chineses e reforça as evidências crescentes sobre os riscos associados ao consumo de alimentos em contato com plástico. Ele também amplia descobertas anteriores que relacionam produtos químicos presentes no plástico a doenças cardíacas.

Os autores utilizaram uma abordagem em duas etapas. Primeiro, analisaram a frequência com que mais de 3.000 pessoas na China comiam em embalagens plásticas de delivery e se elas tinham doenças cardíacas. Em seguida, expuseram ratos a produtos químicos presentes na água que foi fervida e despejada em recipientes de plástico para extrair essas substâncias.
Leia também
Bactérias da Amazônia revelam imenso potencial para a agricultura sustentável e a medicina
Pesquisadores brasileiros propõem estratégia inédita para a estabilidade de células solares de perovskita
O segredo da hibernação está no DNA humano e podemos ativá lo“Os dados revelaram que a exposição frequente a plásticos está significativamente associada a um maior risco de insuficiência cardíaca congestiva”, escreveram os autores.
Produtos químicos
O plástico pode conter cerca de 20 mil produtos químicos, muitos dos quais, como BPA, ftalatos e Pfas, representam riscos à saúde. Essas substâncias são frequentemente encontradas em alimentos e embalagens e estão ligadas a uma série de problemas, desde câncer até danos reprodutivos.
Embora os pesquisadores não tenham verificado quais produtos químicos específicos estavam sendo liberados pelo plástico, eles destacaram a conexão entre compostos plásticos comuns e doenças cardíacas, além de evidências anteriores que relacionam o microbioma intestinal a problemas no coração.
Experimento
Eles colocaram água fervente nos recipientes por um, cinco ou 15 minutos, pois os produtos químicos do plástico são liberados em taxas muito mais altas quando o conteúdo quente é colocado nesses materiais. O estudo citou pesquisas anteriores que descobriram que até 4,2 milhões de partículas de microplásticos por cm² podem ser liberadas de recipientes plásticos aquecidos no micro-ondas.
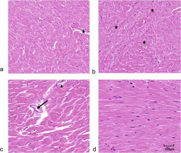
Os autores então deram aos ratos a água contaminada com os resíduos químicos para beber durante vários meses e analisaram o microbioma intestinal e os metabólitos nas fezes. Foram observadas mudanças significativas.
“Isso indicou que a ingestão desses resíduos alterou o microambiente intestinal, afetou a composição da microbiota intestinal e modificou os metabólitos da microbiota, particularmente aqueles ligados à inflamação e ao estresse oxidativo”, escreveram os autores.
Em seguida, eles examinaram o tecido muscular cardíaco dos ratos e descobriram que ele havia sido danificado. O estudo não encontrou diferença estatística nas alterações e danos entre os ratos expostos à água que ficou em contato com o plástico por um minuto em comparação com cinco ou quinze minutos.

Sugestões
O estudo não faz recomendações sobre como os consumidores podem se proteger. No entanto, especialistas em saúde pública sugerem evitar aquecer no micro-ondas ou adicionar alimentos quentes a recipientes plásticos em casa, assim como cozinhar qualquer coisa em plástico. Substituir utensílios ou embalagens plásticas por alternativas de vidro, madeira ou aço inoxidável também é uma medida útil.
Evitar o plástico ao pedir delivery é mais difícil. Uma opção é levar sua própria embalagem de vidro ou transferir a comida para recipientes de vidro ao chegar em casa.
Nunca perca uma notícia da AmazôniaControle o que você vê no Google
O Google lançou as Fontes Preferenciais: escolha os veículos que aparecem com prioridade. Adicione a Revista Amazônia e garanta cobertura exclusiva sempre em destaque.
Adicionar Revista Amazônia como Fonte Preferencial1. Pesquise qualquer assunto no Google
2. Toque no ⭐ ao lado de "Principais Notícias"
3. Busque Revista Amazônia e marque a caixa — pronto!
















Você precisa fazer login para comentar.